Os rins são órgãos essenciais ao bom funcionamento do corpo humano e a doença renal tornou-se numa das que mais preocupações levanta devido à sua prevalência crescente aos recursos de saúde que consome. Neste artigo abordamos esta patologia sob vários aspetos, da prevenção à especialidade médica de nefrologia.
Read MoreO tempo em diálise, a idade avançada, o horário do turno de diálise, a restrição de líquidos e de alimentos, as cãibras musculares, a medicação ou a incerteza sobre o seu futuro, constituem fatores que comprometem a qualidade do sono dos doentes renais.
Read MoreA doença renal crónica está associada a outras patologias, o que aumenta o risco de patologias orais, tais como as anomalias do esmalte, a perda dentária precoce, o hálito urémico e o aumento da prevalência de cálculo e doença periodontal. Estas condições afetam a qualidade de vida dos doentes renais crónicos.
Read MoreA exposição ao calor intenso constitui uma agressão para o organismo, podendo conduzir a desidratação e descompensação de doenças crónicas, levando a um aumento da procura dos serviços de saúde. Conheça 20 recomendações da Direção-Geral da Saúde para se proteger do calor.
Read MoreA doença COVID-19, provocada pelo coronavírus SARS-CoV-2 e que se transformou numa pandemia, afeta sobretudo as pessoas mais velhas e com problemas de saúde. Os doentes renais são, assim, particularmente suscetíveis.
Read MorePara além do benefício para o recetor, existe uma ligação de amor e entreajuda que leva um ser humano a tomar a decisão de dar parte de si a alguém, sem esperar nada em troca. Saiba mais sobre o processo, os riscos e quem pode efetivamente avançar para a doação no artigo da Nefrologista Ana Farinha.
Read MoreO envelhecimento fisiológico renal caracteriza-se por uma redução da taxa de filtração glomerular renal. O rim filtra de forma mais lenta, situação que deve ser diferenciada da presença efetiva de doença renal no idoso.
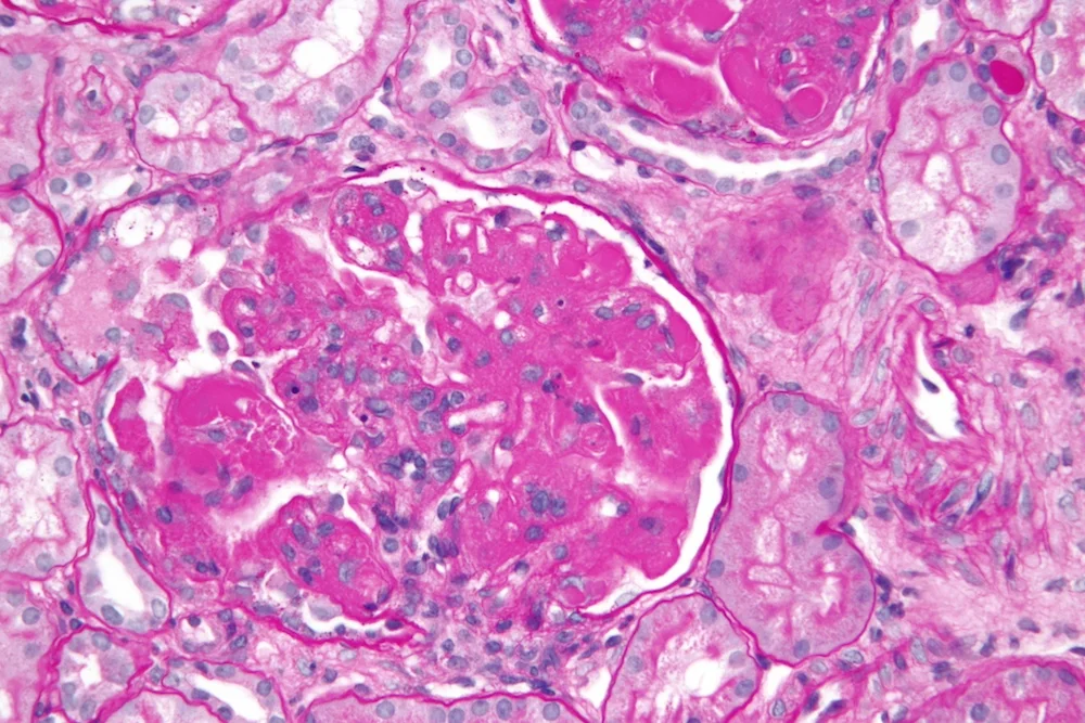
Read MoreA doença renal crónica refere-se ao mau funcionamento dos rins, mas dentro dela existem cinco níveis ou estádios de gravidade. Fique a conhecê-los.
Read MoreA enfermeira Raquel Videira aborda o tema das complicações dos acessos vasculares, em concreto, do baixo débito, hipertensão venosa/edema, síndrome de roubo e fístula arterio venosa de alto débito. Saiba como prevenir e tratar.
Read MoreA enfermeira Raquel Videira aborda o tema das complicações dos acessos vasculares, em concreto, da infeção do acesso vascular, da trombose e dos aneurismas. Saiba como prevenir e tratar.
Read MoreO conselho de um amigo ou familiar ou até a indução publicitária é suficiente para a toma de um medicamento com vista ao alívio de um qualquer sintoma incomodativo como por exemplo uma situação dolorosa. Esta prática é definida como automedicação.
Read MoreO lúpus é uma doença autoimune que pode afetar os rins, entre outros órgãos. A nefrologista Ana Farinha explica a relação do lúpus com os rins e aborda as situações de doentes lúpicos em diálise e para transplante renal.
Read More